Oltre l’Imaging Medicale, al cuore della tua salute
la radiologia medica
La radiologia medica è la branca della medicina che si occupa della produzione e della lettura a fine diagnostico o terapeutico di immagini radiografiche. È detta anche radiologia diagnostica. La branca della medicina che si occupa invece della produzione di raggi X a scopo terapeutico è detta radioterapia. La radiologia ha subito negli ultimi cinquanta anni uno sviluppo travolgente in ambito diagnostico e terapeutico ed occupa oggi un ruolo fondamentale ed imprescindibile nella diagnosi e nel trattamento della stragrande maggioranza delle patologie umane.
Il medico radiologo clinico (6 anni di percorso accademico con Laurea magistrale in Medicina e Chirurgia più 5 anni di formazione specialistica in radiologia diagnostica e interventistica) è uno specialista che, grazie alle sue capacità clinico-radiologiche e sfruttando le metodologie diagnostiche tecnologicamente avanzate si occupa, in collaborazione con gli altri specialisti medici, della gestione diagnostica e terapeutica del paziente.
prenotare online
Privato E’ possibile prenotare senza ricetta medica semplicemente dietro indicazione di un medico specialista.
il paziente al centro
Il nostro centro radiologico garantisce al paziente le migliori cure e prestazioni possibili. Il nostro obiettivo primario è appunto il paziente, ponendolo al centro dell’attenzione,
pagamenti pos
Vengono accettate le carte emesse dal circuito nazionale di debito, PagoBancomat, e dai principali circuiti internazionali di debito e di credito.
I nostri servizi
Radiologia
Attraverso la Radiologia Digitale a bassa dose è possibile eseguire tutti gli esami in tecnica digitale, permettendo di sfruttare software e hardware necessari all’archiviazione delle immagini ed alla loro elaborazione post-acquisizione.
Tac spirale
Prima di parlare di tac spirale, dobbiamo fare un passo indietro, soffermandoci su ciò che è la Tac, cosa significa questo termine. La TAC (acronimo di tomografia assiale computerizzata) è una tecnica diagnostica che sfrutta le radiazioni ionizzanti per ottenere immagini dettagliate di aree specifiche dell’organismo ed è in grado di ottenere immagini tridimensionali.
M.O.C. dexa
La Mineralometria Ossea Computerizzata (MOC) con tecnica DEXA (Dual X-ray Absorptiometry) è l´esame che misura la massa ossea (o densità minerale ossea), cioè la quantità di minerali (espressa in grammi) contenuti nel nostro scheletro.
Ecografia
L’ecografia è una metodica diagnostica non invasiva. Mediante l’impiego di ultrasuoni consente di visualizzare organi, ghiandole, vasi sanguigni, strutture sottocutanee ed anche strutture muscolari e tendinee in numerose parti del corpo.
Mammografia
Nel nostro centro si effettuano mammografie con metodo digitale. La mammografia è un esame radiografico delle mammelle. Viene utilizzato come strumento diagnostico per identificare tumori, cisti e anomalie di piccole dimensioni, come le microcalcificazioni. Durante la procedura, si effettua una compressione della mammella che permette di uniformare il tessuto del seno per aumentare la qualità dell’immagine. La mammografia è inoltre effettuata come test di screening per una diagnosi precoce del tumore al seno. L’esame di screening è consigliato a tutte le donne sopra i 40 anni (ogni due anni se non sono nella classe a rischio) ed è un esame gratuito, per questo viene consigliato di effettuarlo periodicamente, in quanto è fondamentale per la prevenzione del tumore maligno più diffuso per incidenza e mortalità nella popolazione femminile.
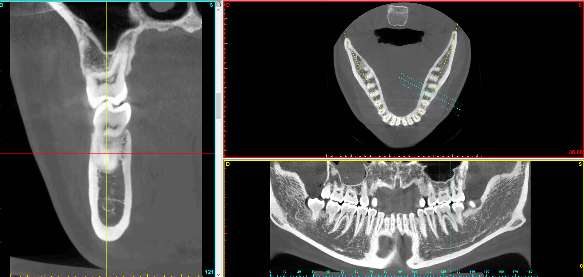
Dentascan
Il paziente e’ posizionato su un lettino che scorre all’interno di un grande anello dove e’ contenuto il tubo radiogeno;questo ruota intorno al paziente emettendo radiazioni ionizzanti che attraversano il corpo del paziente e vengono rilevate da una corona di detettori;questi ultimi inviano i segnali ad un computer che li elabora fornendo immagini bidimensionali del piano di scansione studiato sul monitor.
La durata dell’esame è di pochi minuti.
Attraverso l’utilizzo di una Tac Spirale è possibile effettuare l’esame Dentascan.
Il Dentalscan (Dentascan o TC dentale) è un’applicazione della TAC e si esegue con un software di ricostruzione delle immagini dedicato allo studio delle arcate dentarie.
E’ un valido supporto nella pianificazione terapeutica, nella valutazione e nel follow up delle procedure di implantologia.
Mediante software di ricostruzione dedicati allo studio multiplanare e 3D delle arcate dentarie è lo strumento più efficace per definire con precisione la quantità e la qualità dell’osso su cui effettuare gli impianti.
La tua salute parte da qui
Appuntamenti flessibili per le operazioni urgenti.
O chiama — 0934 21455
Esperienza straordinaria! Personale competente e accogliente. Apparecchiature all’avanguardia e risultati tempestivi. Altamente raccomandato!

